【广西首例】我院脊柱骨科联合多学科成功实施内镜下腰椎管内血管瘤切除术

发布日期:2021-01-07

来源:

点击数:

近期,梁先生因双下肢麻木到我院脊柱骨科住院治疗。腰椎磁共振检查显示患者的腰2-3椎管内肿瘤,很大可能性是血管瘤,若不及时手术治疗,随着肿瘤的生长、神经长时间受压,将可能导致双下肢瘫痪、大小便失禁等严重后果。

但梁先生惧怕手术,担心手术创伤大、术后恢复慢、手术并发症及后遗症等。我院脊柱骨科主任胡朝晖博士带领的团队组织了全院多学科联合诊疗(MDT),决定以微创的方式切除梁先生腰椎管内的肿瘤。该微创术式为内镜下腰椎管内肿瘤切除术,完全在内镜下进行,只需0.8cm皮肤切口,具有创伤小、出血少、术后恢复快等优点。该手术为广西首例,全国亦少见。

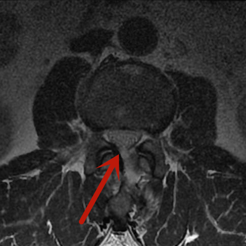
术前影像

患者肿瘤的大小约3.5cm×1.5cm,别看肿瘤不大,但要在内镜下完全通过0.8cm大小的切口进行肿瘤后方的椎板切除减压、肿瘤与周围神经的分离、肿瘤的暴露、肿瘤的彻底切除,需要娴熟的内镜操作技术。

在完善术前检查,排除手术禁忌,充分做好术前准备后,该手术由微创手术经验丰富的罗同青副主任医师主刀。经过2个多小时,患者的肿瘤被完整切除,术中出血约20ml,手术十分成功。术后病理结果回报证实为椎管内血管瘤。

术后影像

术后第1天,梁先生便可下床活动,没有出现手术并发症。3天后,梁先生就康复出院了,他激动地说:“感谢市人民医院脊柱骨科团队,一个小小的切口就解决了我的大麻烦,你们的医术真精湛!”

关闭

©版权所有 2020  柳州市人民医院    技术支持:博达软件   管理登录

桂公网安备 45020202000098号    桂ICP备06011751号-1

快速服务热线(咨询、投诉、建议):0772-3612345    邮编:545006    地址:广西柳州市文昌路8号

Baidu
map