肿瘤患者的福音!柳州市人民医院肿瘤科成功开展肿瘤射频消融治疗

发布日期:2020-11-03

来源:

点击数:

癌症的传统疗法包括外科手术、放化疗以及中医药治疗等。但是对那些不能手术的肿瘤患者,局部介入疗法具有微创、费用低、安全、疗效好等优点。特别是近年来随着介入治疗技术的进步及设备的更新换代,肿瘤介入治疗越来越显示出它在肿瘤治疗中的重要地位。其中,肿瘤的射频消融治疗更是遍地开花、方兴未艾。日前,我院肿瘤科成功开展肿瘤射频消融治疗。

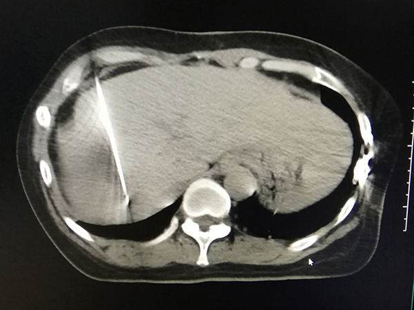
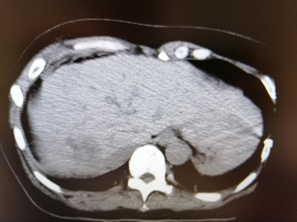
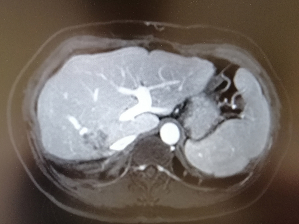
卢女士不幸罹患结肠癌,手术切除后再次发生肝内转移,经多程化疗后肿瘤明显缩小,但肿瘤靠近血管,手术切除风险大且费用较高。2020年10月28日下午,在肿瘤科主任鲁培博士的带领及李竟长副主任医师的积极协调下,肿瘤科介入团队郭旭飞副主任医师和石周主治医师经过反复讨论,并与病人深入沟通后,最终制定了肝转移瘤射频消融术的治疗方案。历时1小时,手术顺利完成,患者取得良好的治疗效果。

治疗前

治疗中

治疗后

目前,射频消融技术已在临床广泛开展,临床适用范围广泛,适用于肝癌、肺癌、食管癌、乳腺癌、宫颈癌、胰腺癌、前列腺癌等多种恶性肿瘤。特别是:1、某些位置不佳的肿瘤:手术难度大,但射频针能到达而不直接穿过重要血管或胆管;2、不愿或不能手术、化疗、放疗者:如糖尿病、免疫力低等全身状态欠佳病人。3、多个病灶:如肝上面有多个肿瘤,常规手术往往不太适合。4、妇科良性肿瘤:如子宫肌瘤等。

肿瘤科主任鲁培博士表示:“目前在肿瘤介入治疗中应用最广泛的是消融治疗,在其30多年的发展中,它的治疗效得到了广泛的认可。但是,肿瘤的局部介入治疗手段是多样的,肿瘤科即将开展的粒子植入也将会给患者带来更多的治疗选择。微创、费用低、安全、疗效好等优点,似大雁飞过了无痕。这两个新技术对于无法手术切除患者是个不错的选择。”

关闭

©版权所有 2020  柳州市人民医院    技术支持:博达软件   管理登录

桂公网安备 45020202000098号    桂ICP备06011751号-1

快速服务热线(咨询、投诉、建议):0772-3612345    邮编:545006    地址:广西柳州市文昌路8号

Baidu
map