耳朵与听觉相关,鼻子与嗅觉相关,咽喉是呼吸的要道,这些器官是人体五官的重要组成部分,每一个器官都是牵一发动全身,一旦出现问题会影响到一个人的工作与生活质量。耳鼻咽喉科就好像是这些器官的“维修养护站”,当我们的这些器官不小心发生病变的时候,应该及时到专业的医院科室进行治疗。柳州市人民医院的耳鼻咽喉科(以下简称耳鼻咽喉科)作为柳州市创建最早、规模最大、技术最全面、设备最先进的科室之一,在广西区内地级医院中独占鳌头。该科室主诊医生磨宾宇作为其中一员,参与并见证了科室近几年的高速发展,医院推行主诊医生负责制后,一年多时间里他在医疗工作中成绩突出,得到了同仁及患者的一致认可。
1
荣耀加持 源于对实力的认可
记者辗转科室许久,终于见到了被同事赞许为“能文能武”的磨宾宇,刚下手术台的他略显疲惫,但一谈起他的病人和专业领域时,他全身的细胞都焕发着活力,如数家珍般滔滔不绝说起了在科室16年的点点滴滴。

今年40岁的磨宾宇现任该院耳鼻咽喉科主诊医生,是一名副主任医师。作为青年医生的中坚力量,他“文”能摄影、写作、挥毫泼墨,“武”能在治疗患者时运筹帷幄精准施策。

去年7月医院实行主诊医生负责制以来,科室内不同医生不同责任,不同环节逐项跟进,严把医疗质量关。管理体制的变化,让他这名青年医生迅速成长起来,积极性也得到了很大提升。压在肩上的责任大了,压力大了,前进的动力也愈发猛进。
从大学专业选修开始,他二十多年来一直钻研着耳鼻咽喉科中的大大小小病症,无论是经手病例或者是同仁接手的经典案例,他会在治疗后总结并反思。主诊医生负责制开展以来,他的医疗技术、经验积累也得到了很大提升。

2019年11月,全区耳鼻咽喉头颈外科青年医师手术视频大赛中,磨宾宇在40多名参赛者中脱颖而出,凭借精细准确的手术操作视频,展示了“儿童先天性胆脂瘤”规范的耳内镜手术操作技巧,加上流畅、条理清晰的演讲勇夺大赛第一名。


磨宾宇向记者介绍,从2015年开始,他对耳显微外科亚专科疾病诊治有所侧重,多次在区内进行学术交流,业届口碑也在不断提升。2018年初,磨宾宇在北京解放军总医院针对耳侧颅底外科进修了半年,回来后在桂中地区率先开展了耳内镜中耳微创手术,手术完全经自然的耳道内进入,不用剃头发及额外的皮肤切开,住院时间缩短了5天,术后干耳时间缩短了3-4周,听力提高率从原来的30-50%提高到60-80%。也因为这一突出优势,该院的耳科在桂中地区的领先优势进一步提升。

工作至今,磨宾宇共发表论文13篇,其中北大核心8篇,主持区级科研课题3项,获广西适宜卫生技术推广奖三等奖1次(排名第一),2015年评为“柳州市优秀共产员”,2018年获“柳州市第十批青年科技人才”荣誉称号。
2
微创去除病痛 患者连连称赞
据数据统计显示,2019年该科室的门诊量(含急诊量)约为11.5万人次,手术量约为3500多台。由此可见,科室接诊压力相对较大。但在病友满意度调查中,科室的口碑与接诊量成正比。黄女士今年6月份在该科室做了中耳显微外科手术,在满意度抽查中对科室医生的医疗技术及医疗服务赞不绝口。
据了解,黄女士患有双侧慢性中耳炎,5年前做了传统显微镜下的中耳手术。当时需要剃头发,还要在耳朵后切开皮肤,在医院住了10天才能回家。这一次手术“一觉醒来”手术就做好了,没有剃头,也没有伤口,术后2天就可以出院了,不到一个月的时间听力基本恢复,这让她感到很惊喜。

磨宾宇介绍,黄女士接受的是近年来国内外流行的耳内窥镜手术,可以完全从自然的外耳道口进入操作,所以不需要剃头发和做额外的切口。2018年8月他从北京解放军总医院进修回来陆续开展该手术,目前科室70%的中耳手术可以通过耳内镜微创方法进行,至今完成300多例,为患者省钱的同时,术后干耳时间更短,听力恢复时间更快。


上到白发苍苍的老妪,下到牙牙学语的患儿,磨宾宇都会耐心接诊,遇到一直讲咱们本地方言的病友,作为外地人的他也会来两句略显蹩脚的柳州话,风趣幽默的语言拉近了医患之间的距离,也让患者对于病痛没那么恐惧。
3
勇于担当 敢于进取
磨宾宇2004年毕业之后就一直在人民医院耳鼻咽喉科工作,经过16年的不断学习探索,在耳鼻咽喉内镜微创手术、上呼吸道阻塞疾病诊治、过敏性疾病诊治等方面在区内同行及患者中拥有较好口碑,门诊常常处于“约满”状态。

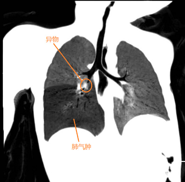
今年正月期间,正是举国上下防控新冠肺炎的最紧张阶段,很多医院对呼吸道的侵入性手术“谈虎色变”。就在那时,一张他带着防护眼镜跪在地上为一名1岁患儿手术的照片让不少人为之动容。磨宾宇说,患儿2天前在家吃橘子后,出现了烦躁、哭闹、拒食等表现,辗转了好几个医院,到我院时已经精神萎靡,呼吸稍显急促。检查发现患儿出现右肺气肿,高度怀疑支气管异物。

病情容不得犹豫,职责不允许退缩。身为主诊医生的他第一时间联系麻醉、手术室团队做好严格防护措施,患儿入院后的2小时,凌晨1点左右患儿被送进了手术室。因为麻醉和手术都必须经过患者气管,所以气管异物手术不能像常规手术一样插管麻醉后再从容的操作。加上儿童的气道狭窄,视野狭小,手术风险大,手术成败与窒息死亡往往就在2-3分钟之间,业内形容为“走钢丝的手术”。
情况紧急,他当机立断,直接双膝跪在地上为患儿进行了手术,不到2分钟时间,患儿气管内的异物被成功取出,小朋友的气紧立即缓解。他发现异物并不是橘子,而是一粒直径仅有3mm已经灰暗变软的花生仁,通过询问家长才知道,7天前小朋友吃过花生。

磨宾宇说:“当时来不及想这么多。其实,用什么姿势救人,或站或蹲或跪,都是为了方便手术操作,赢得时间,更好地救治患者。把工作做到尽善尽美,是我们医生义不容辞的责任。”


回首医路历程,磨宾宇更加深刻的领会到新时代青年医生的责任与担当,同时,将在未来规划中提高个性化医疗服务,扩大门诊的医疗服务种类,将轻症、小病在尽可能在门诊处理完成。
他表示,只有心系患者,不断提升自己,不断提升团队,以真心换真心,成为一名好医生,成为医院的脊梁。