长期的腰腿疼,一直当作“劳损”来对待,谁知病根竟是脊柱内悄然生长的肿瘤。不久前,柳州市人民医院脊柱外科团队便通过高难度手术,为两名这样的患者拆除了“警报”,让他们重获健康生活。
疑难病例攻坚:罕见肿瘤困扰,多学科联手破局
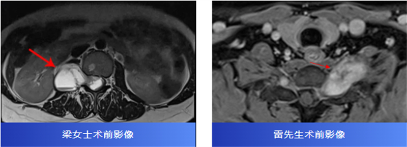
3年前,梁女士(化名)开始感到腰痛,连带着右大腿也一阵阵放射样地疼。一开始,她以为是常见的腰椎问题,试了不少常规方法,却总是反反复复,近半年来甚至走路都越来越吃力,生活也蒙上了一层阴影。
后来,经过腰椎磁共振检查,才发现原来是椎管内长了一个肿瘤,压迫着神经,并向外生长,延伸到了右肾附近,情况十分复杂。

41岁的雷先生(化名)也因为左颈肩部反复酸胀痛了一年多而备受困扰。颈椎磁共振显示,他的颈椎椎间孔区域有一个肿瘤,跨越椎管内外,明显压迫着神经。尝试了多种治疗,效果都不理想,疼痛持续加重。
两名患者转诊至柳州市人民医院后,脊柱外科主任、主任医师胡巍博士迅速组织医学影像科、麻醉科等多学科会诊。团队对肿瘤病变范围、与神经的毗邻关系进行周密评估,为每位患者制定个体化手术方案。

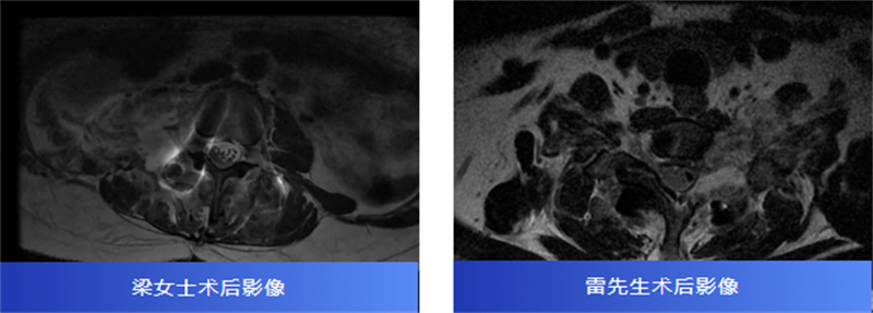
术中,在显微镜辅助下,医生精细分离肿瘤与神经组织,小心翼翼解除压迫,最终切除了肿瘤。病理报告也带来好消息:两人均为良性神经鞘瘤。
术后,梁女士的腰腿痛消失了,雷先生的颈肩胀痛也得到了缓解。两位患者都保住了正常的神经功能,步入康复的新阶段。

科普解惑:神经鞘瘤≠“恶性炸弹”,早诊早治是关键
很多患者看到“肿瘤”二字便心生恐慌,胡巍博士表示,神经鞘瘤起源于脊柱管内神经鞘膜的施万细胞,是椎管内常见的良性肿瘤之一,生长缓慢,一般没有转移性,并非“破坏之王”。
该肿瘤总体发病率不高,但因早期症状不典型,常表现为颈腰痛、肢体放射痛、麻木或无力,容易与腰椎间盘突出、颈椎病等常见脊柱疾病混淆,导致患者延误诊治。
他提醒,磁共振检查(MRI)是诊断神经鞘瘤的首选影像学方法,手术是主要治疗手段。医生会在保护神经功能的前提下,尽可能清除病变、减轻压迫,绝大多数患者术后恢复良好,定期随访即可监测病情变化。
技术人文并重:以患者为中心,守护脊柱健康
在脊柱疾病谱系不断变化的今天,医院脊柱外科团队以多学科协作整合技术资源,秉持“技术与关怀并重”的理念,用扎实的临床成果回应疑难疾病的诊疗难题,让患者病有所医、心有所安。
医生在此提醒您留意:当出现持续性肩颈痛、腰痛,或是手脚发麻、无力等症状时,这可能是身体亮起的“警报”。此时,寻求专业医生的帮助是关键一步。请尽快前往正规医疗机构脊柱外科,进行一次全面的评估,以便明确问题所在并进行对症处理,抓住最佳治疗时机。