孩子们天性活泼好动,奔跑、打球、玩闹中,摔伤磕碰难免发生,而牙齿受伤后能否及时、正确地处理,影响着孩子的正常生活。
近日,柳州市人民医院口腔科为一名10岁患儿实施了两颗年轻恒前牙的精细修复治疗,不仅挽回了孩子的笑容,也赢得了家长的高度认可。
奇奇(化名)是一名活泼可爱的小女孩,她与小伙伴追逐时不慎摔倒,磕断了两颗刚刚换出不久的大门牙。
来到曲晓东首席专家团队的诊室时,孩子始终低着头,用上嘴唇使劲盖住缺损的牙齿,一言不发。
奇奇妈妈焦急万分:“她才10岁,这是刚换出来的新牙,要用一辈子的……”

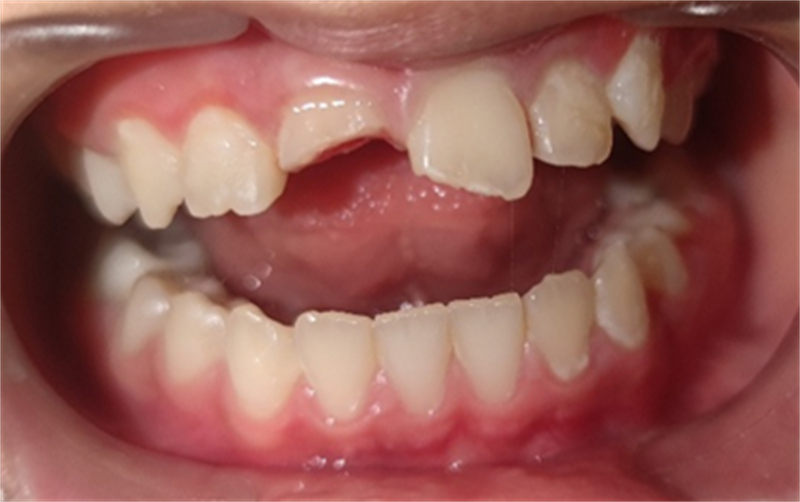
术前
经接诊医生仔细检查,发现两颗牙齿的情况各不相同:
一颗断得较浅,牙神经未暴露,但断裂的牙片已丢失,需进行直接充填修复;
另一颗断得较深,牙神经暴露,且由于孩子年龄小,牙根尚未发育完成,情况更为复杂。
医生解释:“这颗露神经的牙齿需要先做活髓切断术,把感染的牙神经切掉,保留活的牙根神经,让牙根继续发育,然后进行断冠再接术。手术结果与外伤后的治疗时间密切相关,所以你们及时送孩子来,是非常正确的!”

家长听了医生的解释,心里踏实了许多,当即同意按方案进行治疗。
治疗过程中,医生在局部麻醉下,于显微镜中精细操作,先处理暴露的牙神经,再仔细清理断片断面,经过酸蚀、粘接、光照等步骤,将断裂的牙齿碎片粘回原位。另一颗牙齿则采用与牙色一致的材料进行直接充填修复。

术后
治疗结束后,奇奇对着镜子愣住了,她试着抿了抿嘴,又龇着牙笑了笑,激动地说:“妈妈,我的牙回来了,跟原来的一模一样!”
奇奇妈妈凑近细看,连连赞叹:“真的看不出来,颜色、形状都跟原来差不多。”
医生特别叮嘱,露神经的那颗牙需要长期观察,建议术后一个月、三个月、半年定期复查。近日,奇奇按时回院复查,恢复情况良好,患牙无任何不适,笑容也更加自信自然。
这一案例再次提醒广大家长:孩子牙外伤后,切勿慌乱,应尽快就医,争取最佳治疗时机。柳州市人民医院口腔科首席专家团队将为每一位小患者重塑健康笑容,守护他们成长的每一步。