
近日,一张照片引起了笔者的注意,画面中一位双膝跪地医生全部注意力都集中在手术上,感动之余,笔者了解到,这位双膝跪地为患者做手术的医生是我院耳鼻咽喉科磨宾宇副主任医师,他当天顺利实施了这例小儿支气管异物取出术,成功挽救了一名1岁半患儿的生命。

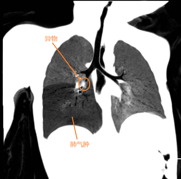
据悉,患儿在家吃橘子后出现烦躁、哭闹,拒食的表现,便来到我院就诊,耳鼻咽喉科韦顺莲医师接诊时发现小朋友的精神萎靡,呼吸稍急促,右下肺呼吸音减弱,而且近一周还有间断的咳嗽症状。凭借多年的临床经验让韦医师一下子警惕起来,第一时间安排患儿做肺部CT及血常规检查,CT显示患儿的右侧二级支气管有低密度影,右下肺气肿,原来是气管中有异物。1岁幼儿该位置的气管直径只有4-7mm,一旦阻塞就很容易引起肺炎,现在已经出现肺气肿,说明气管内已经大部分被阻塞,情况十分危急。
我院耳鼻咽喉科副主任医师磨宾宇和麻醉科马丽副主任医师以及手术室团队接到通知迅速做好防护和术前准备,凌晨0点30分,患儿被紧急送入手术室。

因为麻醉和手术都必须经过患者气管,所以气管异物手术不能像常规手术一样插管麻醉后再从容的操作。儿童的气道狭窄,视野狭小,手术风险大,手术成败与窒息死亡往往就在2-3分钟之间,业内形容为“走钢丝的手术”,副主任医师磨宾宇为了争取抢救时间,双膝直接跪在地上为患儿进行手术,凌晨1点05分,手术成功,气管内的异物被成功取出,发现异物并不是橘子,而是一粒直径仅有3mm已经灰暗变软的花生仁,通过询问家长才知道,7天前小朋友吃过花生,过后有阵发的咳嗽,但家长没有在意,只是吃了点止咳糖浆,没想到这么严重。日前患儿已经顺利出院,患儿家属也对所有的医护人员表达了衷心的感谢。

磨宾宇说:“在耳鼻咽喉科施行此类手术采用跪姿是比较常见的。其实,用什么姿势救人,或站或蹲,或跪或趴,都是为了方便手术操作,赢得时间,更好地救治患者。把工作做到尽善尽美,是我们医生义不容辞的责任。”
近20年来,我院耳鼻咽喉科承担了桂中地区急危重气管异物的手术,每年约30-50例,绝大多数都是3岁以下的幼儿,成功率高达98%以上,已经建立成熟的专业团队及科学有效的急救流程。目前,我院已全面恢复正常医疗秩序,为保障市民安全,多措并举,让患者“双放心”,即疫情防控让患者放心,看病就医让患者放心。
在这里也提醒广大家长朋友,尽量不要给小儿吃花生、豆类、瓜子等食物,如果要吃,最好碾碎后再给孩子,3岁以下也不要喂食果冻。小儿进食时,大人不要逗弄孩子说笑、哭闹,并纠正小儿口内含物的不良习惯。如发现小儿口内含物时,应婉言劝说使其吐出,不要强行挖取,以免引起哭闹而吸入气管内。疑有异物吸入应立即到医院喉科就诊以便及时取出。在送往医院过程中,家长要保持镇静,安抚孩子情绪,减少活动,以避免因异物移动引起窒息。