“我家孩子的门牙刚长出没多久就坏掉了,前前后后去了好几家诊所进行根管治疗,但孩子年龄小无法配合,治疗效果不佳,就一直补、一直烂,始终没办法得到有效治疗。听说柳州市人民医院有无痛补牙,今天特地过来看看。”
近日,三岁半患儿明明(化名)在妈妈的陪同下,来到柳州市人民医院口腔科就诊。明明常常出现牙齿疼痛的症状,稍微硬一点的食物都无法咀嚼,个子也不怎么长,比同龄人矮很多。

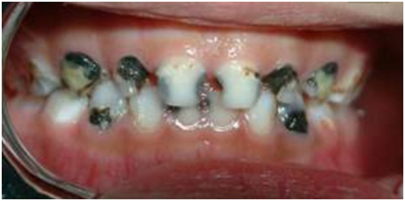
当看到明明的牙齿,接诊医师吓了一跳:患儿全口20颗牙齿,全部都烂了,有的牙齿周围牙龈还长有脓包!

经过详细问诊、术前检查、麻醉术前评估,口腔科医师为孩子安排了全身麻醉下无痛牙病治疗,并制定了完善的治疗计划。短短几个小时,孩子的满口烂牙全部完成了治疗。当天,经医生评估身体已经恢复无恙后,明明就跟着妈妈回家了,他不需要经历痛苦和害怕,就重新拥有了一口健康的牙齿。

▲术后患儿的牙齿
目前社会上一些低龄儿童、牙科恐惧症患者及残疾、智力障碍、精神障碍等特殊人群,都有迫切的口腔治疗需求,但因焦虑、恐惧、哭闹和挣扎,他们无法在常规条件下自主配合治疗,导致病情延误并加重,严重的话会影响咀嚼,身心健康都受到影响。
为了满足当下患者就诊的需要,让低龄儿童及特殊人群能在舒适的情况下进行口腔治疗,降低口腔治疗风险,柳州市人民医院口腔科开展了全身麻醉下口腔科治疗技术,让患者在无痛、舒适、安全的状态下一次性完成口腔现有所有患牙的治疗,保障治疗效果的同时更显人性化。因舒适的同时还减少了就诊次数,省时又省力,自开展以来获得了家长和患者们的广泛认可。

全身麻醉下儿童囗腔科治疗技术是使用麻醉药物使患者进入睡眠状态,对存在口腔疾病的儿童进行一次性的治疗及适当的预防措施。全身麻醉下儿童牙病治疗,患儿不干扰医生操作,有利于提高治疗质量,可一次性治疗多颗牙齿,减少重复就诊的麻烦。治疗结束后,患儿的疼痛较轻,有利于改善其睡眠与进食的情况,保护患儿心理健康。而且,术后患者对治疗的恐惧没有记忆,对于低龄儿童,大大减少了患儿成年后发生“牙科恐惧”的概率。与传统的束缚下治疗相比,该项新技术安全性更高,减少了复诊次数、提高了治疗质量。