肝癌是广西发病率第二、死亡率第一的恶性肿瘤,约65%的肝癌患者在发现时就已是中晚期,失去了手术切除的机会。随着近年来介入、靶向治疗、免疫治疗、消融治疗等一系列新型治疗方案的兴起,多种方法的联合应用,让部分可以由不可切除的肝癌转化为可切除的肝癌,部分患者可以获得长期生存,为中晚期肝癌患者重新点燃了生命之光。
转化治疗:让“绝症”迎来转机
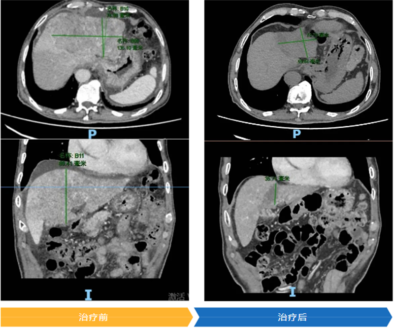
2024年年底,69岁的罗大叔被腰背部的隐痛折磨着,服用止痛药也毫无效果。外院检查的结果犹如一道晴天霹雳——右肝上有两个直径达10公分的大肿块。“当时感觉天都塌了,甚至想放弃治疗。”罗大叔回忆起当时的情景,仍心有余悸。好在罗大叔一家没有放弃希望,来到柳州市人民医院肝胆胰外科就诊。

入院后,肝癌多学科联合诊疗专家团队迅速对罗大叔的病情进行联合会诊。其肝癌病灶最大直径已达12.2cm,还侵犯了门静脉右后支、肝右静脉,左肝体积不足,根据原发性肝癌诊疗指南,已不适合直接手术。不过,专家团队发现罗大叔左边肝脏未受癌细胞侵袭,于是为他量身定制了“靶向+免疫+介入”三联转化治疗方案。

经过2个周期的治疗,罗大叔的肿瘤标志物降低,几乎接近正常水平;功能性影像检查肝肿瘤缩小,侵犯静脉的瘤栓消退,肿瘤活性降低,左肝代偿性增生,成功转化为可手术状态。2025年3月,医生顺利切除了罗大叔的肿瘤。术后病理回报显示,肝癌病灶中未见存活肿瘤细胞。在快速康复外科理念的指导下,罗大叔术后1周便顺利出院。出院时,医生还特别叮嘱他,要遵照医院的肝癌全程管理方案,继续进行后续的综合治疗,以降低肿瘤复发的风险。

远处转移也有希望:创造生命奇迹
2024年10月,72岁的韦大叔同样被病痛所困扰。右上腹部的持续性隐痛一直未缓解,外院检查发现他肝右叶有占位性病变、胆囊结石胆囊炎,心脏彩超还提示右房内有实质性低回声团。得知肝脏、心脏里也长了肿物,韦大叔的女儿惊恐万分,赶忙带他来到柳州市人民医院。

入院后,肝脏增强磁共振检查结果令人揪心:原发性肝癌并肝内转移灶,右心房、上腔静脉、肝右静脉、门静脉主干等多处受累并癌栓形成。按照肝癌诊疗指南,此时肝癌已发生远处转移,而且右心房癌栓随时可能脱落,引发肺动脉栓塞甚至猝死,情况危急。由于韦大叔已有远处转移,肝功能较差,存在手术和介入治疗的禁忌症,肝癌MDT团队建议他进行免疫+靶向抗肿瘤治疗。

幸运的是,在家人的坚持和悉心照料下,一个月后韦大叔返院复查时,肝肿瘤缩小,静脉癌栓也有所消退,他自己也感觉身体轻松了许多。截至2025年3月,韦大叔的肝癌标志物基本降至正常,复查CT、磁共振显示肝肿瘤活性降低,经过调整,肝功能损害也逐渐好转,精神体力状态良好,正在医师指导下坚持治疗和复查。这意味着韦大叔不仅有可能实现长时间带瘤生存,甚至在医院的肝癌全程管理方案治疗下,还有望实现手术切除肿瘤。
走出误区:肝癌可诊可治,早筛早诊是关键
罗大叔和韦大叔的经历,是柳州市人民医院肝癌MDT团队创造生命奇迹的缩影。然而,不少群众对肝癌还存在诸多认知误区。
许多人认为“肝癌必死”,但事实并非如此。早期肝癌的5年生存率超过70%,中晚期患者通过规范综合治疗,也能实现较长时间的带瘤生存,部分还获得手术切除的机会。还有人觉得“治疗痛苦大”,实际上,微创介入、靶向药物等治疗手段,患者的治疗耐受度较高。另外,“筛查没必要”也是错误的观念,高危人群定期筛查可使肝癌死亡率降低50%以上。
在我国,肝癌高危人群主要包括乙肝或丙肝病毒感染者、过度饮酒者、肝脂肪变性或代谢功能障碍相关性肝病患者、饮食中暴露于黄曲霉毒素B1的人群、肝硬化患者以及有肝癌家族史的人,尤其是年龄大于40岁的男性。对于这些高危人群,建议至少每隔6个月到肝胆胰外科专科进行筛查;普通人群(年龄大于40岁男性以及大于50岁的女性),也应尽量每年进行一次健康体检。
柳州市人民医院肝癌MDT团队坚持开展多学科联合诊疗,每周三下午组织多学科专家为患者制定个性化治疗方案,以改善生活质量和延长生命为导向,全程跟进每一个患者的诊疗过程,造福中晚期肝癌患者。